

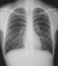
¢£ ¾Àþ»£±Æ
¾Àþ¡ÊÊü¼ÍÀþ¡Ë¤òÍøÍѤ·¡¢¶»Éô¡¢Ê¢Éô¡¢¹ü¤Ê¤É¤Î¾õÂÖ¤ò´Ñ»¡¤·¤Þ¤¹¡£Åö±¡¤Ç¤Ï¡¢¾¯¤Ê¤¤XÀþÎ̤ÇÁ¯ÌÀ¤Ê²èÁü¤¬»£±Æ¤Ç¤¤ëÁõÃÖ¤òƳÆþ¤·¤Æ¤¤¤Þ¤¹¡£³Ø²ñ¤«¤é¤â¡Ö°åÎÅÈï¤Ð¤¯Ä㸺»ÜÀߡפȤ·¤ÆÇ§Äê¤ò¼èÆÀ¤·¡¢°Â¿´¤·¤Æ¸¡ºº¤ò¼õ¤±¤Æ¤¤¤¿¤À¤±¤Þ¤¹¡£»õÁ´ÂΤÎÍͻҤò´Ñ»¡¤¹¤ë¥Ñ¥ó¥È¥â»£±Æ¤â¹Ô¤Ã¤Æ¤¤¤Þ¤¹¡£


¢£ ¥Þ¥ó¥â¥°¥é¥Õ¥£¸¡ºº
Æý˼XÀþ»£±Æ¡Ê¥Þ¥ó¥â¥°¥é¥Õ¥£¡Ë¤Ï¡¢¼ê¤Ç¿¨¤Ã¤Æ¤â¤ï¤«¤é¤Ê¤¤¤è¤¦¤Ê¤´¤¯Áá´ü¤ÎÆý¤¬¤ó¤ò¡¢Çò¤¤±Æ¡Ê
¼ðáî±Æ¡Ë¤äº½¤Î¤è¤¦¤ÊºÙ¤«¤ÊÀг¥²½¤È¤·¤ÆÈ¯¸«¤Ç¤¤ë¸¡ºº¤Ç¤¹¡£¸¡ºº¤Ç¤ÏÆý˼¤ò°µÇ÷ÈĤȤ¤¤¦ÈĤǤϤµ¤ß»£±Æ¤·¤Þ¤¹¡£Äˤߤòȼ¤¦¤³¤È¤¬¤¢¤ê¤Þ¤¹¤¬¡¢ÆýÁ£¤òÇö¤¯¿¤Ð¤·¤Æ½Å¤Ê¤ê¤ò¸º¤é¤¹¤³¤È¤Ç¡¢¾®¤µ¤ÊÉÂÊѤâÁ¯ÌÀ¤Ë¼Ì¤·½Ð¤¹¤³¤È¤¬¤Ç¤¤Þ¤¹¡£É¬Íפ˱þ¤¸¤Æ¥È¥â¥·¥ó¥»¥·¥¹¡Ê3D¥Þ¥ó¥â¥°¥é¥Õ¥£¡Ë¤Ë¤è¤ëÀºÌ©¸¡ºº¤â¹Ô¤Ã¤Æ¤¤¤Þ¤¹¡£


¢£ ¹üÌ©ÅÙ¬Äê¡ÊDEXAË¡¡Ë
¹ü¤Î¶¯¤µ¤ò¬¤ê¡¢¹üÁÆò¢¾É¤ò¿ÇÃǤ¹¤ë¸¡ºº¤Ç¤¹¡£¹üÁÆò¢¾É¤Ï¹üÀÞ¤ò¾·¤¡¢·ò¹¯¼÷Ì¿¤ò½Ì¤á¤ë¸¶°ø¤È¤Ê¤ê¤Þ¤¹¡£Åö±¡¤Ç¤ÏÀºÅ٤ι⤤¡ÖDEXAË¡¡×¤Ç¡¢¹üÀÞ¤·¤ä¤¹¤¤¹ø¤È¤ÎÉÕ¤±º¬¤Î¹üÎ̤òÀµ³Î¤Ë¬Äꤷ¤Þ¤¹¡£XÀþÎ̤Ϥ´¤¯¤ï¤º¤«¤Ç¡¢ÂΤؤÎÉéô¤Ï¤Û¤È¤ó¤É¤¢¤ê¤Þ¤»¤ó¡£

¢£ XÀþTV¸¡ºº
ÂÎÆâ¤ÎÍͻҤò¥ê¥¢¥ë¥¿¥¤¥à¤Ç¸«¤Ê¤¬¤é¹Ô¤¦¸¡ºº¡¦¼£ÎŤǤ¹¡£Â¤±ÆºÞ¤ò»È¤Ã¤¿°ß¤Î¸¡ºº¡¢¿©¤Ùʪ¤Î°û¤ß¹þ¤ß¶ñ¹ç¤ò¸«¤ëÓ벼¤±Æ¡¢»ÒµÜ¤Î·Á¤äÍñ´É¤ÎÄ̲á¾õÂÖ¡¢Íñ´É¼þ°Ï¤ä¹üÈׯâ¤ÎÌþÃå¤Î¾õÂÖ¤òɾ²Á¤¹¤ë»ÒµÜÍñ´É¤±Æ¤Ê¤É¡¢ÍÍ¡¹¤ÊÀìÌçŪ¸¡ºº¤ËÂбþ¤·¤Æ¤¤¤Þ¤¹¡£ºÇ¿·¤ÎÄãÈï¤Ð¤¯ÁõÃÖ¤òƳÆþ¤·¤Æ¤ª¤ê¡¢°ÂÁ´Ì̤ˤâÇÛθ¤·¤Æ¤¤¤Þ¤¹¡£


¢£ CT¸¡ºº
Åö±¡¤Ç¤Ï¡¢Àè¿ÊŪ¤ÊCTÁõÃ֤Ǥ¢¤ë320ÎóCT¤È2´ÉµåCT¤Î2Âæ¤òƳÆþ¤·¤Æ¤¤¤Þ¤¹¡£ ¤³¤ì¤é¤Ï
MDCT¡Ê¥Þ¥ë¥Á¥Ç¥£¥Æ¥¯¥¿¡¼CT¡Ë¤È¸Æ¤Ð¤ì¤ë¹âÀǽ¤ÊÁõÃ֤ǡ¢Ã»»þ´Ö¤Ç¿¤¯¤Î²èÁü¾ðÊó¤ò¼ý½¸¤Ç¤¤ë¤¿¤á¡¢¸¡ºº»þ´Ö¤Îû½Ì¤ä¡¢°ìÅ٤Ω»ß¤á¤Ç¹ÈϰϤλ£±Æ¤¬²Äǽ¤Ç¤¹¡£ÆÃ¤Ë2´ÉµåCT¤Ï¡¢Æ°¤¤Î®¤¤¿´Â¡¤Î»£±Æ¤Ë¤ª¤¤¤ÆÍ¥¤ì¤¿Àǽ¤òȯ´ø¤·¤Þ¤¹¡£½¾ÍèÁõÃÖ¤è¤ê¤â»þ´Öʬ²òǽ¤¬ÈôÌöŪ¤Ë¸þ¾å¤·¤¿¤³¤È¤Ç¡¢¿´Â¡¤Î·ÁÂ֤䴧ư̮¡Ê¿´Â¡¤òÍܤ¦·ì´É¡Ë¤ò¤è¤êÁ¯ÌÀ¤ËÉÁ¤½Ð¤·¡¢ÀºÅ٤ι⤤¿ÇÃǤ˹׸¥¤·¤Þ¤¹¡£
¤Þ¤¿¡¢CT-AEC¡ÊCT¼«Æ°Ïª½Ðµ¡¹½¡Ë¤äIR¡ÊÃ༡¶á»÷±þÍѺƹ½À®Ë¡¡Ë¤È¤¤¤Ã¤¿ºÇ¿·¤ÎÈï¤Ð¤¯Ä㸺µ»½Ñ¤òÀѶËŪ¤Ë³èÍѤ·¡¢¹â²è¼Á¤ò°Ý»ý¤·¤Ê¤¬¤é¡¢´µ¼Ô¤µ¤Þ¤ÎÈï¤Ð¤¯ÀþÎ̤ò²Äǽ¤Ê¸Â¤êÄ㸺¤¹¤ë¤è¤¦ÅØ¤á¤Æ¤¤¤Þ¤¹¡£


¢£ MRI¸¡ºº
Åö±¡¤Ç¤Ï¡¢´µ¼ÔÍͤˤè¤êÀºÅ٤ι⤤¿ÇÃǤò¡¢¤è¤ê²÷Ŭ¤Ë¼õ¤±¤Æ¤¤¤¿¤À¤¯¤¿¤á¤Ë¡¢Àǽ¤Î°Û¤Ê¤ë2Âæ¤ÎºÇ¿·MRIÁõÃÖ¡Ê3.0¥Æ¥¹¥é¡¿1.5¥Æ¥¹¥é¡Ë¤òƳÆþ¤·¤Æ¤ª¤ê¤Þ¤¹¡£¤½¤ì¤¾¤ì¤ÎÁõÃÖ¤ÎĹ½ê¤ò³è¤«¤·¡¢´µ¼ÔÍͰì¿Í¤Ò¤È¤ê¤Î¾É¾õ¤ä¸¡ººÉô°Ì¤Ë¹ç¤ï¤»¤ÆºÇŬ¤Ê¸¡ºº¤òÄ󶡤Ǥ¤ëÂÎÀ©¤òÀ°¤¨¤Æ¤¤¤Þ¤¹¡£
¡ÚÅö±¡¤ÎMRI¸¡ºº¤ÎÆÃĹ¡Û
1.¤è¤êÁ¯ÌÀ¤Ê²èÁü¤Ç¡¢ÈùºÙ¤ÊÉÂÊѤâȯ¸« ÆÃ¤Ë¹âÀǽ¤Ê3.0TMRI¤Ï¡¢½¾Íè¤è¤ê¤â³ÊÃʤËÁ¯ÌÀ¤Ê²èÁü¤òÆÀ¤é¤ì¤ë¤¿¤á¡¢¤³¤ì¤Þ¤Ç¸«¤Ä¤±¤Ë¤¯¤«¤Ã¤¿¾®¤µ¤ÊÉÂÊѤÎȯ¸«¤Ë·Ò¤¬¤ê¡¢¿ÇÃÇÀºÅÙ¤¬Â礤¯¸þ¾å¤·¤Þ¤¹¡£Ç¾¤äÀÔ¿ñ¡¢´ØÀá¡¢¤¬¤ó¤Î¿ÇÃÇ¤Ê¤É¤ÇÆÃ¤ËÎϤòȯ´ø¤·¤Þ¤¹¡£
2.¿ÈÂΤؤΤ´Ééô¤¬¾¯¤Ê¤¤¸¡ººÂ¤±ÆºÞ¤ò»È¤ï¤º¤Ë·ì´É¡ÊMRA¡Ë¤äÃÀÆ»¡¦ç¹´É¡ÊMRCP¡Ë¤ò¾Ü¤·¤¯Ä´¤Ù¤ë¸¡ºº¤â²Äǽ¤Ç¤¹¡£¤Þ¤¿¡¢Éô°Ì¤´¤È¤ÎÀìÍÑÁõÃÖ¡Ê¥³¥¤¥ë¡Ë¤òÍѤ¤¤ë¤³¤È¤Ç¡¢Ã»¤¤¸¡ºº»þ´Ö¤Ç¹â²è¼Á¤Ê»£±Æ¤ò¹Ô¤¤¡¢´µ¼ÔÍͤΤ´Ééô¤ò·Ú¸º¤·¤Þ¤¹¡£
3.Á´¿È¤ÎÍÍ¡¹¤ÊÉô°Ì¤ËÂбþ
ƬÉô¡¢¿´Â¡¡¢ÆýÁ£¡¢Ê¢Éô¡¢À°·Á³°²ÊÎΰè¡Êɨ¡¦¸ª¤Ê¤É¡Ë¤Ë»ê¤ë¤Þ¤Ç¡¢Á´¿È¤Î¸¡ºº¤ËÂбþ²Äǽ¤Ç¤¹¡£¹âÅ٤ʲèÁü¿ÇÃǵ»½Ñ¤ò¶î»È¤·¡¢°å»Õ¤¬´µ¼ÔÍͤ˺ÇŬ¤Ê¸¡ºº·×²è¤òΩ¤Æ¡¢¼Á¤Î¹â¤¤°åÎŤòÄ󶡤·¤Æ¤Þ¤¤¤ê¤Þ¤¹¡£


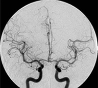
¢£ ·ì´É»£±Æ¸¡ºº
·ì´É»£±Æ¤È¤Ï¡¢¥«¥Æ¡¼¥Æ¥ë¤È¸Æ¤Ð¤ì¤ëºÙ¤¤´É¤òÁÍ·ÂÉô¤äÏӤʤɤ«¤é·ì´ÉÆâ¤ËÁÞÆþ¤·¡¢Â¤±ÆºÞ¤òÃíÆþ¤¹¤ë¤³¤È¤Ë¤è¤Ã¤Æ·ì´É¤ÎÁö¹Ô¤ä·ì¹ÔưÂ֤ʤɤò¸«¤ë¸¡ºº¤Ç¤¹¡£¶áǯ¤Ç¤Ï¸¡ºº¤Î¤ß¤Ê¤é¤º¡¢·ì´É»£±Æ¼êµ»¤òÍøÍѤ·¤Æ¼£ÎŤò¹Ô¤¦IVR¡ÊInterventional Radiology¡Ë¤¬À¹¤ó¤Ë¹Ô¤ï¤ì¤Æ¤¤¤Þ¤¹¡£Åö±¡¤Ç¤Ï¡¢¼ðáç¤ä½Ð·ì¤ËÂФ¹¤ëºÉÀò½Ñ¼£ÎÅ¡¢¿´Â¡¤Ç¤Ï¿´¶Ú¹¼ºÉ¤ËÂФ¹¤ë¼£ÎÅ¡¢Ç¾·ì´É¤Ç¤ÏǾư̮áî¤ËÂФ¹¤ë¥³¥¤¥ëºÉÀò¤äǾ¹¼ºÉ¤ËÂФ¹¤ë·ìÀò²ó¼ý½Ñ¤Ê¤É¿´ô¤Ë¤ï¤¿¤ê¹Ô¤Ã¤Æ¤¤¤Þ¤¹¡£·ì´É»£±Æ¡¦IVR¤ò¹Ô¤¦ºÝ¤Ï½Ñ¼°¤Ë¹ç¤ï¤»Á´¿ÈËã¿ì¤â¤·¤¯¤Ï¶É½êËã¿ì¤ò¹Ô¤¦¤¿¤á¼êµ»Ãæ¤ÎÄˤߤϤۤȤó¤É¤¢¤ê¤Þ¤»¤ó¡£
·ì´É»£±ÆÁõÃÖ¤Ï2Âæ¤¢¤ê¡¢¶ÛµÞIVR¤Ë¤â¿×®¤ËÂбþ¤Ç¤¤ë¤è¤¦¤ÊÂÎÀ©¤òÀ°¤¨¤Æ¤¤¤Þ¤¹¡£


¢£ ³Ë°å³Ø ¡Ê¥¢¥¤¥½¥È¡¼¥×¡Ë ¸¡ºº
£Ó£Ð£Å£Ã£ÔÁõÃ֤ˤè¤ê¡¢´µ¼Ô¤µ¤ó¤ÎÂÎÆâ¤ËÅêÍ¿¤·¤¿Êü¼ÍÀ°åÌôÉʤÎʬÉÛ¤ò»£Áü¤¹¤ë¤³¤È¤Çɵ¤¤ä¡´ï¤Î·ÁÂÖ¡¢Âå¼Õ¡¢µ¡Ç½¤Î²èÁü¿ÇÃǤò¹Ô¤Ã¤Æ¤¤¤Þ¤¹¡£Æ¬Éô¤Î¸¡ºº¤ÏǾ¤Î·ìήʬÉۤάÄ꤬²Äǽ¤Ç¤¢¤ê¡¢Ç§ÃξɤäǾ·ì´É¾ã³²Åù¤Î¿ÇÃǤË͸ú¤Ç¤¹¡£¿´Â¡¤Î¸¡ºº¤Ï¿´µ¡Ç½¡¢¿´¶Ú¤Î·ìήʬÉÛ¤ä»éËûÀÂå¼Õ¡¢¸ò´¶¿À·Ðµ¡Ç½Åù¤¬²Ä»ë²½¤Ç¤¡¢¿´¼À´µ¤Î²èÁü¿ÇÃǤ˷礫¤»¤Ê¤¤¤â¤Î¤È¤Ê¤Ã¤Æ¤¤¤Þ¤¹¡£¤Þ¤¿¡¢¥¬¥ó¥Þ¥«¥á¥é¤È¥Æ¥¯¥Í¥·¥¦¥à¿´¶Ú·ìήÀ½ºÞ¤ÎÁȤ߹ç¤ï¤»¤¿¿´ÅÅ¿ÞÆ±´üSPECT¤Ë¤è¤ê¡¢¿´¶Ú·ìή¥¤¥á¡¼¥¸¥ó¥°¤ÈƱ»þ¤Ëº¸¼¼ÊÉ¤ÎÆ°ÂÖ¤ò3¼¡¸µÅª¤Ë´Ñ»¡¤¹¤ë¤³¤È¤¬²Äǽ¤Ç¤¹¡£¹ü¤Î¸¡ºº¤Ï¤¬¤ó¤Î¹üž°Ü¸¡º÷¤Ð¤«¤ê¤Ç¤Ê¤¯ÈèÏ«À¹üÀޤοÇÃǤä3PHASE STUDYË¡¤Ë¤è¤ê¹ü¿ñ±ê¤Î´ÕÊ̤¬¤Ç¤¡¢À°·ÁÎΰè¤ä»õ²ÊÎΰè¤Ë¤âÍøÍѤµ¤ì¤Æ¤¤¤Þ¤¹¡£¤½¤Î¾¡¢¼ðáç¤ä±ê¾É¤Î¸¡º÷¡¢¹Ã¾õÁ£µ¡Ç½¤ä¿Õµ¡Ç½¡¢ÇÙ·ìή¤Ê¤É¤Î²èÁü¿ÇÃǤËÂçÊÑ͸ú¤Ê¸¡ºº¤Ç¤¹¡£


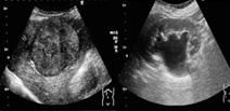
¢£ Ͳ»Çȸ¡ºº
Ͳ»Çȸ¡ºº¤Ï¡¢Êü¼ÍÀþ¤òÍøÍѤ·¤Æ¤¤¤Ê¤¤¤¿¤áÈï¤Ð¤¯¤¬¤Ê¤¯¡¢ÆýÍÄ»ù¤«¤é¤´¹âÎð¤ÎÊý¤Þ¤Ç°Â¿´¤·¤Æ¸¡ºº¤ò¼õ¤±¤Æ¤¤¤¿¤À¤±¤Þ¤¹¡£Åö¸¡ºº¼¼¤Ç¤Ï¡¢Aplio i800¡ÊCanon¼ÒÀ½¡Ë¡¢LOGIQ E10¡ÊGE¼ÒÀ½¡Ë¤ÎÁõÃÖ¤òƳÆþ¤·¤Æ¤¤¤Þ¤¹¡£Ê¢ÉôÁ´ÈÌ¡¢ÆýÁ£¡¦¹Ã¾õÁ£¤ò´Þ¤àÂÎɽ¡´ï¡¢ðôư̮¡¦»Í»è·ì´É¡Ê¿´Â¡¤ò½ü¤¯¡Ë¤Ê¤ÉÉý¹¤¤Îΰè¤Î¸¡ºº¤ò¹Ô¤Ã¤Æ¤¤¤Þ¤¹¡£¤Þ¤¿¡¢´Î¡¤Î¥¨¥é¥¹¥È¥°¥é¥Õ¥£¡Ê´Î¹ÅÅÙ¬Äê´Þ¤à¡Ë¡¢Â¤±ÆÄ¶²»Çȸ¡ºº¤Ë¤âÂбþ¤·¤Æ¤¤¤Þ¤¹¡£


¢£ Êü¼ÍÀþ¼£ÎÅ
Êü¼ÍÀþ¼£ÎŤϡ¢¼ê½Ñ¤ÈƱ¤¸¶É½êÎÅË¡¤Ç¡¢ÉÂÁ㤬¿ÈÂΤΰìÉô¤Ë¸Â¶É¤·¤Æ¤¤¤ë¼À´µ¡Ê¿Ê¹Ô¤·¤¹¤®¤Æ¤¤¤Ê¤¤Â¿¤¯¤Î¶É½ê¤¬¤ó¡Ë¤ËŬ¤·¤Æ¤¤¤Þ¤¹¡£Åö±¡¤Ç¤Ï¡¢¹âÀºÅÙÊü¼ÍÀþ¼£ÎÅÁõÃÖ¤òƳÆþ¤·¡¢Ä¾Àþ²Ã®ÁõÃÖ¡Ê¥ê¥Ë¥¢¥Ã¥¯¡Ë¤Ë¤è¤Ã¤ÆÈ¯À¸¤µ¤ì¤ëXÀþ¡¦ÅÅ»ÒÀþ¤òÍѤ¤¤Æ¡¢°À¼ðáç¤ËÂФ¹¤ë¼£ÎŤò¹Ô¤Ã¤Æ¤¤¤Þ¤¹¡£¹âÀºÅÙ¤ÊÊü¼ÍÀþ¼£ÎŤò¹Ô¤¦¤³¤È¤Ç¡¢Àµ¾ïÁÈ¿¥¤Î¾ã³²¤Ï¤µ¤é¤Ë¾¯¤Ê¤¯¤Ê¤ê¡¢¼ðáç¤Ø¤ÎÀþÎÌÁý²Ã¤¬²Äǽ¤È¤Ê¤ê¤Þ¤¹¡£Êü¼ÍÀþ¼£ÎŤÀ¤±¤Î¾ì¹ç¤Ë¤Ï¸¶Â§Åª¤Ë³°Íè¤Ç¤Î¼£ÎŤ¬²Äǽ¤Ç¤¹¡£¿ÈÂΤؤÎÉéô¤¬¾¯¤Ê¤¤¤¿¤á¡¢¹âÎð¤Î´µ¼Ô¤µ¤ó¤Ç¤â°Â¿´¤·¤Æ¼£ÎŤò¼õ¤±¤ë¤³¤È¤¬¤Ç¤¤Þ¤¹¡£¼£ÎŷײèÍѤÎXÀþ£Ã£ÔÁõÃ֤ˤè¤ê¡¢¾È¼Í»þ¤ÈƱÍͤΥݥ¸¥·¥ç¥Ë¥ó¥°¤ò¼è¤ë¤³¤È¤Ë¤è¤Ã¤Æ¡¢ºÆ¸½ÀôÊݤ·¤Æ¤¤¤Þ¤¹¡£¤½¤³¤Ç¼èÆÀ¤µ¤ì¤¿XÀþ£Ã£Ô²èÁü¤ò¤â¤È¤Ë¡¢Êü¼ÍÀþ¼£ÎÅÀìÌç°å¤¬Êü¼ÍÀþ¼£ÎŷײèÁõÃÖ¤òÍѤ¤¤Æ¼£Îŷײè¤òΩ°Æ¤·¡¢¼£ÎŤò¹Ô¤Ã¤Æ¤¤¤Þ¤¹¡£Êü¼ÍÀþ¼ðáç°å¡¦Êü¼ÍÀþ¼£ÎŤÎÀìÌçÃ챤ò»ý¤Ä¿ÇÎÅÊü¼ÍÀþµ»»Õ¤ä´Ç¸î»Õ¤Ê¤É¿¤¯¤Î´Ø·¸¼Ô¤¬¥Á¡¼¥à°åÎŤò»Ù¤¨¡¢¼£ÎÅÀ®ÀӤθþ¾å¤òÌܻؤ·¤Æ¤¤¤Þ¤¹¡£»ü·Ã°åÂçÉí°É±¡¡ÊËܱ¡¡Ë¤È¤ÎÏ¢·È¤òÌ©¤Ë¤·¡¢¹âÀºÅپȼͤä¹ÐÆâ¾È¼Í¡¦ÁÈ¿¥Æâ¾È¼Í¤Ê¤É¤Î¾®Àþ¸»¼£ÎŤòɬÍפȤ¹¤ë´µ¼Ô¤µ¤ó¤ò¾Ò²ð¤·¤Æ¤¤¤Þ¤¹¡£

|