転移性脳腫瘍
他臓器の癌が頭蓋内に転移することはしばしば経験することです。特に肺癌、乳癌、大腸癌、腎癌は脳転移を起こしやすいことが知られています。近年、分子標的治療薬の進歩により癌の治療成績が飛躍的に向上しました。それに伴い転移性脳腫瘍を患った患者さんが斬増しています。こうした患者さんは頭蓋内病変のみならず他臓器にも転移している場合があり、頭蓋内腫瘍があるために積極的な治療が断念される場合が多いです。
当科ではそうした患者さんにも治療の光明をもたらす意味で可能な限り積極的な治療を行っています。治療には、手術、放射線治療(全脳照射、定位放射線治療(ガンマナイフ))があります。
化学療法については脳血液関門と呼ばれるバリアがあるため薬物の効果が頭蓋内病変にはいきわたりにくくあまり有効ではない場合があります。
但し、最近分子標的治療薬が普及し、治療薬の標的遺伝子検査により適合した症例には、劇的な効果が得られることもあります。
具体例を呈示しましょう。
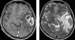
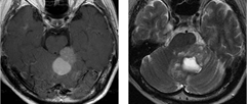
症例 1
肺癌による左側頭葉転移性脳腫瘍に対してEGFR変異陽性の結果を踏まえて イレッサ(ゲファチニブ)の単独投与のみで治療したところ、腫瘍が著明に縮小しました。その後再発なく経過しています。


すべての症例でこのように効果が得られるわけではないので、薬物治療の恩恵が期待できない場合でも放射線治療が奏功する場合もあります。
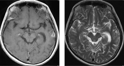
症例 2
卵巣癌による右前頭葉を中心に多発転移性脳腫瘍に対して放射線治療単独(全脳照射)のみで腫瘍が著明に縮小しました。その後再発なく経過しています。


一般的に腫瘍サイズが小さい場合(2~3cm以下)は放射線治療が優先されます。最近では全脳照射後の認知症状を回避するべく、ガンマナイフが選択されるようになってきています。
それでも放射線に対して耐性がある癌や腫瘍サイズが大きく、脳幹を圧迫している症例(小脳転移など)では放射線・化学療法の効果が現れるまでに短期間に致死的な状況に陥ることが懸念されるため、開頭腫瘍摘出術が優先されます。
症例 3
乳癌による転移性小脳腫瘍に対して開頭腫瘍摘出術を施行しました。ダンベル状の多発病変でしたが、一期的に摘出しました。術後放射線治療を行いました。



またガンマナイフなど局所放射線治療により脳浮腫が増悪する可能性があると言われる腎臓癌の脳転移では、たとえ腫瘍サイズが小さくても開頭手術を優先した方が良い場合があります。
症例 4
腎臓癌による左前頭葉深部白質の転移性小脳腫瘍に対して開頭腫瘍摘出術を施行し全摘しました。脳浮腫の懸念がなくなったため術後ガンマナイフを併用しました。5年以上再発なく経過しています。




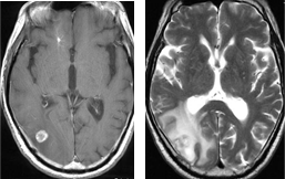
症例 5
腎臓癌による右側頭葉の転移性小脳腫瘍に対して開頭腫瘍摘出術を施行し全摘しました。術後ガンマナイフを併用しました。術前に視野障害を自覚しておりましたが、術後改善しました。腫瘍の全摘に加え、機能も回復しました。




腎臓癌の脳転移巣は腫瘍サイズが小さい割に脳浮腫が強い場合が多いです。写真で呈示した如く転移性脳腫瘍の肉眼所見は、血管奇形や血管腫と似ており正常脳との境界がわかりやすいため比較的摘出は容易です。また広範囲な脳浮腫も腫瘍を全摘すると消失します。
従って腫瘍サイズが小さい場合でも、当科では可能な限り転移性脳腫瘍に対して積極的に摘出手術を行っています。特に頭蓋内を占拠するような病変については患者さんのQOL(生活の質)に留意した手術を行い、たとえ末期癌であっても在宅療養への後押しとなるような治療の提供を考慮しています。
開頭手術した患者さんについては短期入院を原則としており、病変・病態に応じて放射線治療、ガンマナイフを行います。ガンマナイフについては他施設(水戸ガンマハウス・築地神経クリニック・セコメディック病院など)へ御紹介いたします。
※ 以前は脳転移巣が診断されてからの平均寿命は1年以内でしたが、近年の技術の進歩により、手術・放射線治療・化学療法をうまく併用すると病変を制御することも可能で、3年以上生存している症例もあります。決して諦めることなく当科へ御相談下さい。
(当院ホームページ「脳腫瘍外来」もご参照ください。)