脳神経外科 脳腫瘍 髄膜腫

髄膜腫

最も頻度の高い良性の脳腫瘍で、くも膜顆粒の表層細胞から発生する腫瘍です。脳の表面を覆っている髄膜から発生するため頭蓋内の至るところから発生し、脳や神経の圧迫により症状をきたします。

症状としては頭痛、めまい・ふらつき、痙攣発作に加え、脳や神経の圧迫により手足の麻痺・しびれなどの知覚障害、視力視野障害、複視(ものが二重に見える)、嚥下障害など多彩な症状が現れることがあります。多くは良性腫瘍ではあり、手術による全摘ができれば完治も期待できますが、時に再発をきたし悪性化する場合もあります。その場合は定位放射線治療(ガンマナイフ)と組み合わせて治療を行います。

最近は脳ドックの普及に伴い、自覚症状がなくても偶然に発見されることがあります。このような自覚症状を伴わない髄膜腫(無症候性髄膜腫)については、大きさにもよりますが、すぐに手術はせず、外来で画像検査を一定の期間を空けて繰り返し行い、サイズや形の変化の有無を詳細にチェックしながら経過観察いたします。

大部分の無症候性髄膜腫は治療の必要なく経過観察で良いのですが、明らかに腫瘍が大きくなれば、開頭手術による摘出術を行います。 (よく質問されることですが、髄膜腫に対して放射線治療や薬物治療を最初に行うことはまず無いです。)

当科では患者さんのニーズに応じて治療方法について柔軟に対応いたします。他院で髄膜腫の診断を受け、手術を受けるか否か迷った際などにはお気軽にご相談ください。

無症候性髄膜腫(頭痛・めまい・麻痺・しびれなどの症状の無い髄膜腫)の治療方針

最近は脳ドックが普及してきたため偶然に髄膜腫が発見されることがあります。当科では無症候性髄膜腫の治療方針は以下のように決めています。

  1. 初回画像検査から3~6ヶ月後にMRI検査;時期を空けて腫瘍容積の変化をチェックします。

  2. 腫瘍のサイズが変わらなければさらに6ヶ月から1年にMRI検査をします。

  3. 腫瘍のサイズが変わらなければ以後1年毎にMRI検査をします。

このような石灰化の病変は通常急速に大きくなることは無いので、まずは経過観察となります。

この患者さんには当初手術を勧めましたが(左)、拒否されたため画像検査のみの経過観察としましたが、1年後の画像所見では嚢胞成分(液体が貯留している部分)は縮小し(右)、充実成分の大きさは変わっていませんでした。初診から6年経過していますが、何事もなく経過しご本人も満足されています。

その他にも様々な場所に髄膜腫ができます。大きさが小さい病変は偶然に発見されます。

これらはすべて手術をせずに経過観察しています。(勿論放射線照射もしていません)
このように手術が不要の髄膜腫は多いのです。良性腫瘍であるため、無症候性髄膜腫の大部分は経過観察で十分です。初回検査で腫瘍が指摘されたからといって手術を受けることを即断しなくても良いのです。
腫瘍のサイズが大きくなってきた場合、腫瘍摘出術を行います(後述)。

腫瘍のサイズに比べて脳浮腫が強く脳が腫れている場合、痙攣や手足の麻痺などの症状が出現する可能性が高くなるため、手術をお勧めします(後述)。
逆に、いくら腫瘍が大きく、脳幹を圧迫しているように見えても、脳浮腫が伴っていない無症候性髄膜腫の場合は意外と手術をしなくても大丈夫なのです。

腫瘍の局在によってはサイズが小さくても積極的に手術をお勧めします(後述)。
(視神経などの脳神経・運動や知覚の支配領域・脳幹に隣接した部位など)

具体的にどの場所に髄膜腫ができるのでしょうか?
当科で髄膜腫の摘出術を行った代表例を呈示しましょう。

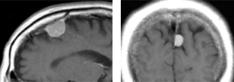
円蓋部髄膜腫

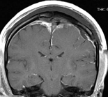
脳の表面を覆う硬膜から発生するタイプで最も頻度の高い腫瘍です。相当な大きさにならないと症状をきたしにくいことが多いので、MRI検査で偶然に発見されることが多いです。

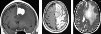
この症例は、当初軽度の頭痛を主訴にMRIを行なったところ左前頭葉に2cmほどの腫瘍が偶然発見されました(左)。ほとんど症状が無く、日常生活に支障がなかったため、1年に1度検査を行い、経過観察していましたが、3年後に4cmとなりました(右)。それでも頭痛は軽かったのですが、腫瘍のサイズが少しずつ大きくなってきたため本人も不安となり、相談の上、開頭手術を行なった症例です。

このように脳の表面にできた場合は、いきなり手術を決断しなくても、治療を受けるか否か検討する猶予はありますので、よく考えたほうが良いです。
(腫瘍のサイズが大きくなりすぎると手術もかなり難しくなることもあり、後遺症を残すことにつながりかねないので、そのタイミングを逃してはならないことは言うまでもありません。これについても当科では随時相談いたします。)

鞍結節部髄膜腫

鞍結節部髄膜腫とは、頭蓋底の奥深い場所にある骨の出っ張りに付着するように存在する髄膜腫です。その近くに視神経が接しているため、腫瘍を放置しておくとわずかに大きくなるだけで視神経を圧迫し始めます。手術で摘出しないと、そのまま失明の危険があります。この部位の髄膜腫はたとえ腫瘍の大きさが小さくても手術を勧めます。
特に視力低下・視野障害の自覚があれば、放置しておくと失明する可能性が高いため、手術を受けた方が良いと考えます。

(術前MRI)
(術後MRI)

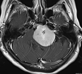
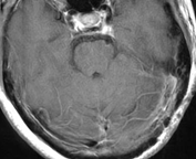
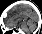
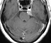
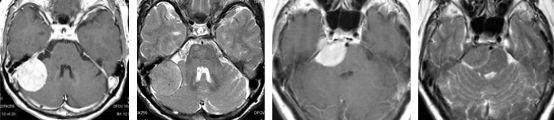
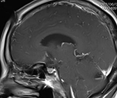
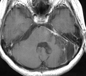
錐体斜台部髄膜腫

この部位は脳神経がすだれのように走行しており、腫瘍により脳幹・脳神経(外転神経・顔面神経・聴神経など)が圧迫されると物が2つに見えたり、耳が聞こえなくなったり、さらに腫瘍のサイズが大きくなると生命に危険な状態となります。

(術前MRI)
(術後MRI)

このように比較的大きい腫瘍が脳幹を圧迫している場合は、重篤な症状をきたし生命に危険が伴う可能性があるため、早急に手術が必要です。

(術前MRI)
(術後MRI)

一方、この腫瘍は小さいのですが、三叉神経の圧迫により耐えがたい顔面痛により発見された髄膜腫です。当初手術を躊躇し鎮痛剤を服用しながら経過観察しておりましたが、症状が改善されなかったため、手術を行いました。腫瘍は全摘され、術前に鎮痛剤で改善しなかった顔面痛は、術後には完全に消失しました。勿論、鎮痛剤を服用する必要も全くなくなりました。思い切って手術を決断してよかったと大変満足いただけました。 このように手術をしないと症状が改善されない髄膜腫もあります。

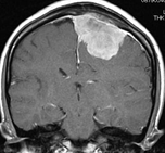
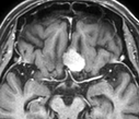
傍矢状静脈洞髄膜腫

上矢状静脈とは、頭の中央を走行する太い静脈です。その静脈の壁に接した硬膜から発生する髄膜腫は、無症状のこともありますが、腫瘍のサイズが大きいと手足の運動を司る場所(中心前回と言います)が圧迫を受けるために麻痺やけいれんを生じることがあります。

(術前MRI)
(術後MRI)

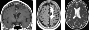
ところが、たとえ腫瘍が小さくても、下の画像に示すように、造影される病変(左)に比べ、脳浮腫(右;白く広がっている部分)が広い範囲に拡大していると、腫瘍の大きさが小さいにも関わらず症状(この場合右足の麻痺やてんかん発作)が重症化することが多いです。腫瘍摘出を行なうと、術後3~4週間で浮腫は消失します。

(術前MRI)
(術後MRI)

※ 髄膜腫はできる場所も様々ですが、手術が不要なものと必要なものがあります。
また手術が必要と判断される場合でも、腫瘍摘出のしやすいものや高度な技術を要するものもあり、手術の難しさも様々です。

※ 基本的には髄膜腫は手術だけで治すことができる脳腫瘍ですが、約20%で悪性化することが知られています(当科もほぼ同じ頻度です)。当初良性髄膜腫にて全摘したにもかかわらず、その後10年越しで再発をきたし、計5回にわたり開頭腫瘍摘出術を行わざるを得なかった症例を経験しています。

(MIB-1とは腫瘍細胞の中で増殖活動が活発な細胞がどのくらい含まれているかを示しています。良性髄膜腫は概ね3~5%以下であり、悪性化すると10%以上になります。上記の症例は手術を重ねるたびにMIB-1の値が増加し、再手術までの期間が短縮していることがわかります。)