神経鞘腫(聴神経腫瘍・三叉神経鞘腫)
脳腫瘍の頻度の第4位で、ミエリンと呼ばれる神経線維の表面を覆っている構造物から発生し、聴神経腫瘍であると難聴、三叉神経鞘腫の場合顔面痛や痺れをきたします。腫瘍が大きくなると周囲の脳や血管が圧迫されるため、頭痛、めまい・ふらつき、視力視野障害、複視(ものが二重に見える)、嚥下障害など多彩な症状が現れることがあります。多くは良性腫瘍ではあり、手術による全摘ができれば完治も期待できますが、時に再発をきたし悪性化する場合もあります。その場合は定位放射線治療(ガンマナイフ)と組み合わせて治療を行います。
最近は脳ドックの普及に伴い、サイズが小さいうちに発見されるようになりました。治療方針については、大きさにもよりますが、すぐに手術はせず、外来で画像検査を一定の期間を空けて繰り返し行い、サイズや形の変化の有無を詳細にチェックしながら経過観察いたします。
手術を選択する目安は腫瘍の大きさが3cm以上、浮腫により小脳や脳幹が圧迫されている場合です。3cm以下の小さな腫瘍であれば、ガンマナイフ治療が優先されることが多いですが、すぐに治療介入せず6ヶ月毎にMRI検査し、腫瘍のサイズが変わらなければ、その後1年毎の画像検査による経過観察でも良いです。



明らかに腫瘍が大きくなれば、ガンマナイフ(放射線治療)、開頭手術による腫瘍摘出術を考慮します。
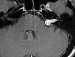
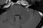
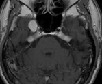
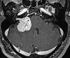
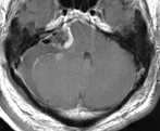
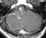
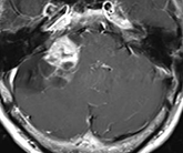
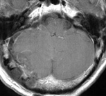
以下の画像に呈示するような脳幹や小脳を圧迫する大きい腫瘍に対しては、開頭手術が優先されます。手術中に神経刺激装置・聴性脳幹反応など電気生理学的モニタリングを併用し、1つ1つの手術操作によって神経機能を損傷していないか随時チェックしながら手術を行っており、術後後遺症の予防に努めています。









当科では患者さんのニーズに応じて治療方法について柔軟に対応いたします。他院で聴神経腫瘍・三叉神経鞘腫の診断を受け、手術を受けるか否か迷った際などにはお気軽にご相談ください。